Lietuvių
Pasiūlymai
Kontaktai
Londonas
Dublinas
Menu
Uždaryti
Paslaugos
Gydytojai
Kainos
Apie mus
Galerija
Naujienos ir straipsniai
Pasiūlymai
Registracija
Kontaktai
+370 626 88838
info@ficlinica.lt
Sporto g. 3 Kaunas, Lietuva
Lietuvių
Registracija
Pagrindinis
Galerija
Odontologija
Dantų balinimas
Atgal
Dantų balinimas
Pasirinkite kategorija
Dantų balinimas
Dantų laminatės
Kompleksinis gydymas
Estetinis plombavimas
Dantų balinimas
Dantų laminatės
Kompleksinis gydymas
Estetinis plombavimas
Dantų balinimas
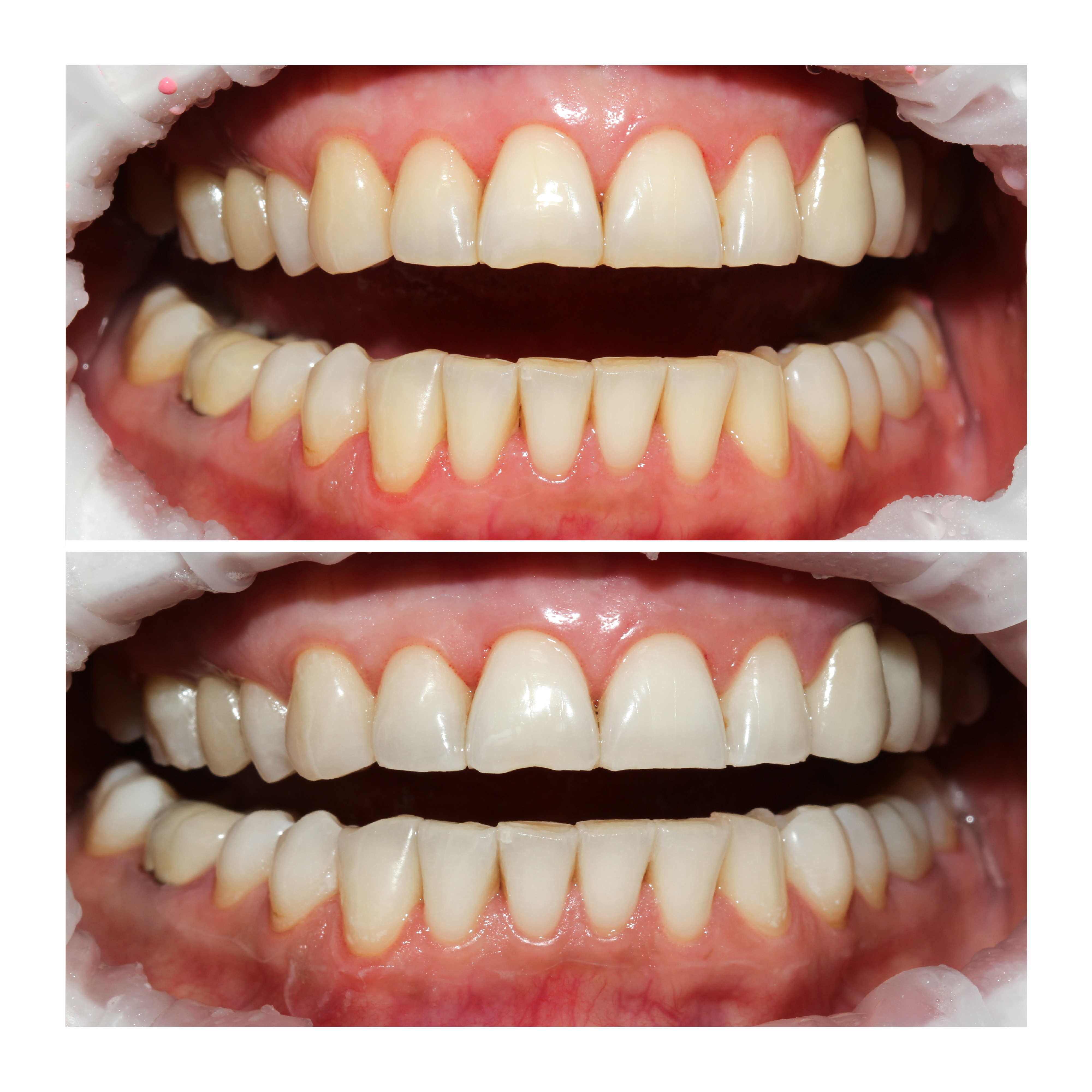
Prieš
Po
Paslauga
Burnos higiena ir dantų balinimas
Gydytojas
Sandra Burčikaitė
Prieš
Po
Paslauga
Burnos higiena ir dantų balinimas
Gydytojas
Sandra Burčikaitė
Prieš
Po
Paslauga
Burnos higiena ir dantų balinimas
Gydytojas
Sandra Burčikaitė